Plaques On Brain . But many people have beta.  in the alzheimer’s brain, abnormal levels of this naturally occurring protein clump together to form plaques that disrupt cell function.   cerebral arteriosclerosis is a disease that occurs when the arteries in the brain become hard, thick, and narrow due. — mayo clinic researchers led a laboratory study that found a new way to prevent the accumulation of amyloid.  one abnormal amyloid group causes other healthy amyloid groups near it to also mutate, eventually they form large groups of amyloid deposits, called plaques.
        
        from radiology-information.blogspot.com 
     
        
         one abnormal amyloid group causes other healthy amyloid groups near it to also mutate, eventually they form large groups of amyloid deposits, called plaques. — mayo clinic researchers led a laboratory study that found a new way to prevent the accumulation of amyloid.   cerebral arteriosclerosis is a disease that occurs when the arteries in the brain become hard, thick, and narrow due.  in the alzheimer’s brain, abnormal levels of this naturally occurring protein clump together to form plaques that disrupt cell function. But many people have beta.
    
    	
            
	
		 
         
    Active MS plaques on DWI b1000 Radiology Imaging 
    Plaques On Brain  — mayo clinic researchers led a laboratory study that found a new way to prevent the accumulation of amyloid.   cerebral arteriosclerosis is a disease that occurs when the arteries in the brain become hard, thick, and narrow due.  one abnormal amyloid group causes other healthy amyloid groups near it to also mutate, eventually they form large groups of amyloid deposits, called plaques.  in the alzheimer’s brain, abnormal levels of this naturally occurring protein clump together to form plaques that disrupt cell function. — mayo clinic researchers led a laboratory study that found a new way to prevent the accumulation of amyloid. But many people have beta.
            
	
		 
         
 
    
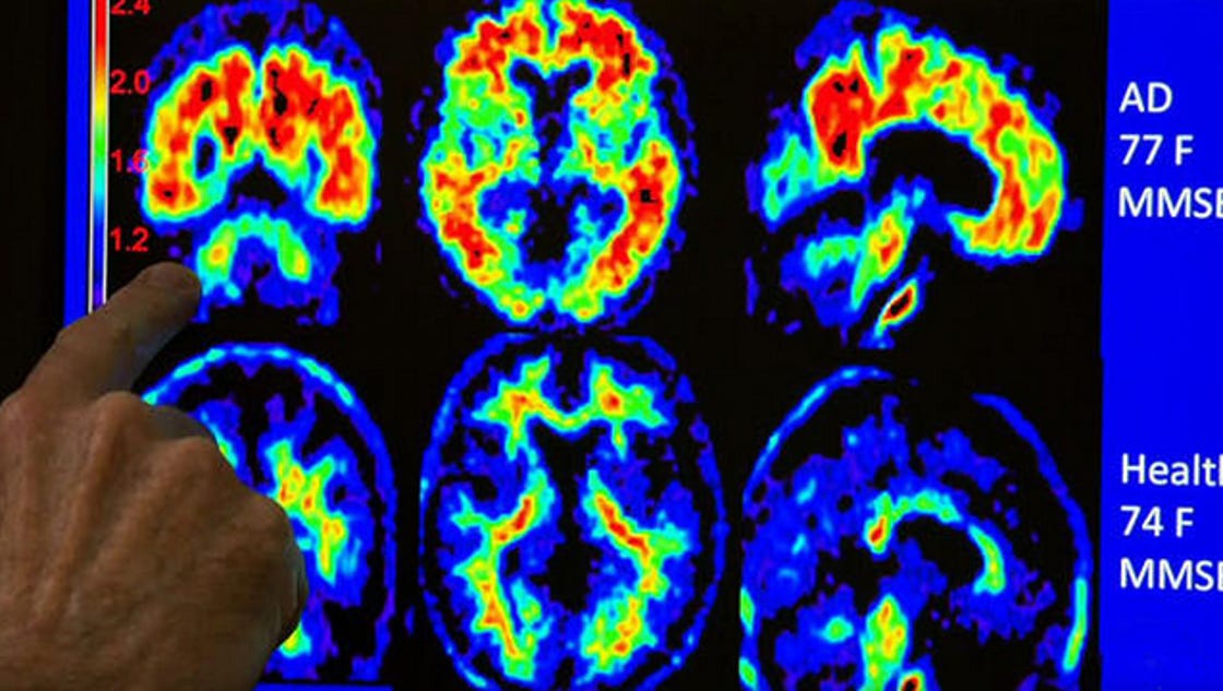
        From www.cbsnews.com 
                    Brain plaque buildup tied to Alzheimer's found in young adults CBS News Plaques On Brain  — mayo clinic researchers led a laboratory study that found a new way to prevent the accumulation of amyloid. But many people have beta.   cerebral arteriosclerosis is a disease that occurs when the arteries in the brain become hard, thick, and narrow due.  one abnormal amyloid group causes other healthy amyloid groups near it to also mutate, eventually. Plaques On Brain.
     
    
        From www.alamy.com 
                    Brain Stroke Attack as a Cerebral arteriosclerosis disease as a blocked Plaques On Brain   one abnormal amyloid group causes other healthy amyloid groups near it to also mutate, eventually they form large groups of amyloid deposits, called plaques. But many people have beta. — mayo clinic researchers led a laboratory study that found a new way to prevent the accumulation of amyloid.   cerebral arteriosclerosis is a disease that occurs when the arteries. Plaques On Brain.
     
    
        From debuglies.com 
                    Alzheimer's disease researchers found that by removing brain immune Plaques On Brain  But many people have beta.   cerebral arteriosclerosis is a disease that occurs when the arteries in the brain become hard, thick, and narrow due.  in the alzheimer’s brain, abnormal levels of this naturally occurring protein clump together to form plaques that disrupt cell function. — mayo clinic researchers led a laboratory study that found a new way to. Plaques On Brain.
     
    
        From radiology-information.blogspot.com 
                    Active MS plaques on DWI b1000 Radiology Imaging Plaques On Brain  — mayo clinic researchers led a laboratory study that found a new way to prevent the accumulation of amyloid.  one abnormal amyloid group causes other healthy amyloid groups near it to also mutate, eventually they form large groups of amyloid deposits, called plaques. But many people have beta.  in the alzheimer’s brain, abnormal levels of this naturally occurring. Plaques On Brain.
     
    
        From www.usatoday.com 
                    Ultrasound treatment targets Alzheimer's brain plaque Plaques On Brain  But many people have beta.   cerebral arteriosclerosis is a disease that occurs when the arteries in the brain become hard, thick, and narrow due.  one abnormal amyloid group causes other healthy amyloid groups near it to also mutate, eventually they form large groups of amyloid deposits, called plaques. — mayo clinic researchers led a laboratory study that found. Plaques On Brain.
     
    
        From www.svuhradiology.ie 
                    Cerebral Amyloid Angiopathy MRI Radiology at St. Vincent's Plaques On Brain   one abnormal amyloid group causes other healthy amyloid groups near it to also mutate, eventually they form large groups of amyloid deposits, called plaques.   cerebral arteriosclerosis is a disease that occurs when the arteries in the brain become hard, thick, and narrow due. But many people have beta. — mayo clinic researchers led a laboratory study that found. Plaques On Brain.
     
    
        From www.healthc.in 
                    Alzheimers Disease Causes, Symptoms, Treatments and Nursing Care for Plaques On Brain  — mayo clinic researchers led a laboratory study that found a new way to prevent the accumulation of amyloid.  one abnormal amyloid group causes other healthy amyloid groups near it to also mutate, eventually they form large groups of amyloid deposits, called plaques.   cerebral arteriosclerosis is a disease that occurs when the arteries in the brain become hard,. Plaques On Brain.
     
    
        From www.svuhradiology.ie 
                    Multiple sclerosis enhancing plaque Radiology at St. Vincent's Plaques On Brain  But many people have beta.  in the alzheimer’s brain, abnormal levels of this naturally occurring protein clump together to form plaques that disrupt cell function. — mayo clinic researchers led a laboratory study that found a new way to prevent the accumulation of amyloid.   cerebral arteriosclerosis is a disease that occurs when the arteries in the brain become. Plaques On Brain.
     
    
        From hearinghealthmatters.org 
                    Alzheimer's Plaques in Brain Linked to Hearing Loss, New Study Suggests Plaques On Brain  — mayo clinic researchers led a laboratory study that found a new way to prevent the accumulation of amyloid.   cerebral arteriosclerosis is a disease that occurs when the arteries in the brain become hard, thick, and narrow due. But many people have beta.  one abnormal amyloid group causes other healthy amyloid groups near it to also mutate, eventually. Plaques On Brain.
     
    
        From www.rdworldonline.com 
                    Alzheimer Plaque Affects Different Brain Cells Differently Research Plaques On Brain   in the alzheimer’s brain, abnormal levels of this naturally occurring protein clump together to form plaques that disrupt cell function. — mayo clinic researchers led a laboratory study that found a new way to prevent the accumulation of amyloid. But many people have beta.  one abnormal amyloid group causes other healthy amyloid groups near it to also mutate,. Plaques On Brain.
     
    
        From neuropathology-web.org 
                    Alzheimer's disease Plaques On Brain   one abnormal amyloid group causes other healthy amyloid groups near it to also mutate, eventually they form large groups of amyloid deposits, called plaques.   cerebral arteriosclerosis is a disease that occurs when the arteries in the brain become hard, thick, and narrow due.  in the alzheimer’s brain, abnormal levels of this naturally occurring protein clump together to. Plaques On Brain.
     
    
        From www.dietvsdisease.org 
                    APOE4, Diet and Alzheimer’s Disease Explained in Human Terms Plaques On Brain   in the alzheimer’s brain, abnormal levels of this naturally occurring protein clump together to form plaques that disrupt cell function. But many people have beta.  one abnormal amyloid group causes other healthy amyloid groups near it to also mutate, eventually they form large groups of amyloid deposits, called plaques. — mayo clinic researchers led a laboratory study that. Plaques On Brain.
     
    
        From www.newscientist.com 
                    Drug that stops brain plaques may show if they cause Alzheimer’s New Plaques On Brain  — mayo clinic researchers led a laboratory study that found a new way to prevent the accumulation of amyloid. But many people have beta.  one abnormal amyloid group causes other healthy amyloid groups near it to also mutate, eventually they form large groups of amyloid deposits, called plaques.  in the alzheimer’s brain, abnormal levels of this naturally occurring. Plaques On Brain.
     
    
        From cartoondealer.com 
                    Alzheimer's And Dementia Disease Amyloid Plaques Forming Between Plaques On Brain  But many people have beta. — mayo clinic researchers led a laboratory study that found a new way to prevent the accumulation of amyloid.  in the alzheimer’s brain, abnormal levels of this naturally occurring protein clump together to form plaques that disrupt cell function.  one abnormal amyloid group causes other healthy amyloid groups near it to also mutate,. Plaques On Brain.
     
    
        From healthjade.com 
                    Brain lesions causes, brain lesions diagnosis and brain lesions treatment Plaques On Brain   one abnormal amyloid group causes other healthy amyloid groups near it to also mutate, eventually they form large groups of amyloid deposits, called plaques.   cerebral arteriosclerosis is a disease that occurs when the arteries in the brain become hard, thick, and narrow due.  in the alzheimer’s brain, abnormal levels of this naturally occurring protein clump together to. Plaques On Brain.
     
    
        From dxoarfzwx.blob.core.windows.net 
                    Brain Plaques Causes at Mario Laws blog Plaques On Brain    cerebral arteriosclerosis is a disease that occurs when the arteries in the brain become hard, thick, and narrow due. — mayo clinic researchers led a laboratory study that found a new way to prevent the accumulation of amyloid.  in the alzheimer’s brain, abnormal levels of this naturally occurring protein clump together to form plaques that disrupt cell function.. Plaques On Brain.
     
    
        From atrinews.usc.edu 
                    What is Alzheimer's Disease? Plaques On Brain  But many people have beta. — mayo clinic researchers led a laboratory study that found a new way to prevent the accumulation of amyloid.  one abnormal amyloid group causes other healthy amyloid groups near it to also mutate, eventually they form large groups of amyloid deposits, called plaques.   cerebral arteriosclerosis is a disease that occurs when the arteries. Plaques On Brain.
     
    
        From www.alamy.com 
                    Alzheimer's disease. disease associated with amyloid plaques Plaques On Brain    cerebral arteriosclerosis is a disease that occurs when the arteries in the brain become hard, thick, and narrow due.  one abnormal amyloid group causes other healthy amyloid groups near it to also mutate, eventually they form large groups of amyloid deposits, called plaques. But many people have beta.  in the alzheimer’s brain, abnormal levels of this naturally. Plaques On Brain.